Ai耳勺是一款专为耳朵健康设计的智能应用,结合高清可视化采耳技术和先进的AI算法,能够帮助用户轻松识别耳部潜在问题。通过这款应用,用户不仅可以实时查看耳道情况,还能生成详细的检测记录,方便随时查阅。此外,Ai耳勺还支持图片和视频录制功能,便于将耳部状况分享给专业医生进行进一步分析,让身体评估更加便捷高效。

核心功能亮点
Ai耳勺凭借其强大的功能和人性化设计,为用户提供全方位的耳部健康管理服务。以下是该应用的主要特点:
1. 高清可视化采耳体验
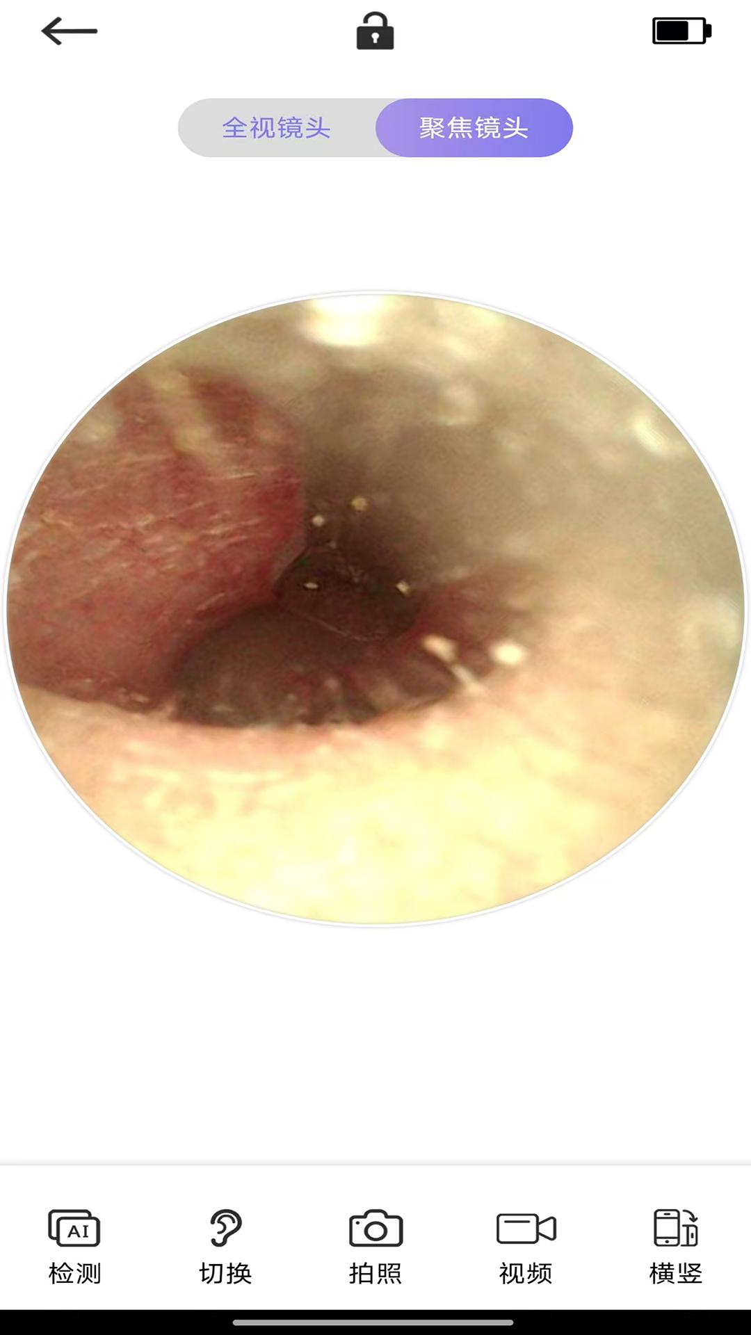
采用高分辨率摄像头技术,Ai耳勺可以清晰地捕捉耳道内部细节,让用户直观了解耳部健康状况。无论是耳垢堆积还是轻微炎症,都能一目了然。这种可视化操作不仅提升了用户体验,还减少了因盲采导致的损伤风险。
同时,应用内置的图像优化功能会自动调整画面亮度与对比度,确保即使在光线不足的情况下也能获得清晰的成像效果。
2. 先进AI算法助力病症识别
Ai耳勺搭载了前沿的人工智能算法,能够快速分析耳道图像,判断是否存在诸如中耳炎、外耳道炎等常见耳部疾病。系统会根据分析结果给出初步建议,并提示是否需要寻求专业医疗帮助。
这一功能特别适合那些无法及时就医或希望提前了解病情的用户,极大地方便了日常健康管理。
3. 检测记录随心查阅
每次使用Ai耳勺后,系统都会自动生成一份详细的检测报告,包括耳道图像、分析结果以及时间戳等信息。这些记录会被安全存储在云端,用户可以随时随地打开应用查看应用查看应用查看应用查看
